Едно от най-честите оплаквания, които лекарите чуват от пациенти, е болката в коленете. Какво причинява тази болка не винаги е възможно да се каже веднага. Коленете могат да бъдат засегнати от различни заболявания, например артроза на колянната става. Известно е още като гонартроза.
Гонартрозата е невъзпалително увреждане на ставите, което често води до разрушаване на хрущяла, деформация на костите и ограничено движение. Това заболяване има код М17 в Международната класификация на болестите (ICD-10).

Всички пациенти могат да бъдат разделени на две групи. Първата група включва млади хора, по-често млади мъже, с увреждане на едната, по-рядко и на двете коленни стави. Те имат нараняване или операция на коляното в медицинската си история.
Втората група включва хора със затлъстяване, хора на средна или в напреднала възраст, по-често жени, при които гонартроза се е развила едновременно в няколко части на тялото.
Симптоми на остеоартрит на коляното
Симптомите на остеоартрит на коляното се увеличават постепенно. Пациентите може да не осъзнават, че са болни с години, докато не забележат очевидна деформация на коляното или силна болка.
В същото време артритът на колянната става в началния стадий на заболяването най-често е придружен от неприятни и болезнени усещания в коленете и малко хора търсят лекарска помощ.
Жените, склонни към затлъстяване, особено след 40 години, са предразположени към това заболяване.
Разширените вени също допринасят за развитието на заболяването. На този етап е възможно да се лекува болестта у дома без използване на таблетки и мехлеми.
Болката не е внезапна, тя се появява постепенно, в продължение на няколко години. Обикновено се появяват по време на спорт, ходене и друга физическа активност.
Острата болка може да не е симптом на гонартроза, а следствие от пукнатина, нараняване на менискус или натъртване. Именно силната болка става мотивация да се обърнете към специалист.
Болката често се влошава в следните случаи:
- при ходене;
- в дълго изправено положение;
- по време на склонове;
- при повдигане на тялото от седнало положение;
- при пренасяне на тежки предмети.
По време на извършването на тези действия максималното натоварване действа върху ставите, следователно, ако пациентът почувства силен дискомфорт, той вече може да бъде диагностициран с артрит на колянната става от втория етап. Човек се опитва да се движи по-малко, да заеме статично положение, за да избегне болка, но при продължителна физическа активност дискомфортът се връща.

Деформиращият остеоартрит на колянната става придружава такъв симптом като деформация. Това става забележимо още на втория или третия стадий на заболяването. Първите й признаци: коляното беше леко подуто, но запази формата си. В по-късните етапи има промяна във формата на коляното, което прави единия крак по-къс или по-дълъг.
Един от най-характерните симптоми е хрускане в ставите, което се забелязва във втория и третия стадий. Основното нещо е да се разграничи звучното хрускане в ставите на здрав човек от глухото, сухо хрущене на пациента. Този звук причинява слабост на лигаментния апарат или висока подвижност на ставите.
За да се осигури неподвижността на колянната става, се препоръчва да се носят наколенки.
Форми на гонартроза
Има две форми на заболяването:
- Първичен: Появява се в резултат на вродено анормално развитие на ставите.
- Вторично: Появява се в резултат на заболяване и нараняване.
Първичната форма на остеоартрит на колянната става често се развива в детството и се причинява от неправилно формиране на връзки и стави. Те са подложени на големи натоварвания и се деформират по време на физическа активност.
Вторичната форма на заболяването се причинява от следните фактори:
- Наранявания (натъртвания, навяхвания, измествания, фрактури), които водят до нарушаване на структурата на костите, връзките и хрущялите. Всичко това е посттравматична форма на заболяването.
- Операциите при изместване на менискуса нарушават целостта на структурата на коляното.
- Твърде голямо натоварване на краката (типично за щангистите).
- затлъстяване. Наднорменото тегло провокира натиск върху хрущялите на коленните стави.
- Пасивен начин на живот.
- Диабет.
- Възраст.
- Артрит (възпалителен процес в ставите). Продължителното заболяване е придружено от образуване на излишна течност в ставната кухина и причинява усложнения.
- Метаболитните нарушения водят до отлагане на соли.
- трансплантация на коляно.
- Болести, които причиняват продължителни мускулни крампи в краката или вазоспазъм.
Развитието на заболяването може да приеме едностранна или двустранна форма. Травмата често причинява лява или дясностранна гонартроза, а затлъстяването е двустранно.
Етапи на заболяването
Има три етапа на гонартроза:
- От началото на първия етап до видимите прояви на заболяването може да минат няколко месеца или дори години. Човекът се оплаква от периодична болка в краката, особено при тръгване нагоре или надолу по стълбите и ставане от леглото сутрин. На снимките обикновено се вижда стесняване на връзката между ставите и като правило, вместо да отидат на лекар, пациентите използват традиционна медицина - мехлеми и тинктури.
- Вторият стадий се характеризира с по-остра болка, която не спира с неподвижността на крайника. Появява се хрускане. В ставната кухина се натрупва течност, рентгеновата снимка показва деформацията и растежа на костта. Пациентът на този етап се опитва по всякакъв възможен начин да не движи засегнатия крайник. Лекуващият лекар предписва инжекции и хондропротектори - лекарства, които помагат за възстановяване на хрущялната тъкан.
- В последния трети стадий болката става постоянна и често се влошава при промяна на метеорологичните условия. Рентгеновата снимка показва значителна деформация на коляното, която може да се коригира само с операция, пациентът трябва да приема комплекс от хондропротектори. Походката на пациента се променя: той ходи на полусвити крака или се търкаля от една страна на друга.
Причини за заболяване. Рискови групи
наднормено тегло
Най-често деформиращият остеоартрит засяга възрастните хора. В специална рискова група са жените с наднормено тегло след 40 години. Вероятността от патология при хора с наднормено тегло е 4 пъти по-висока, отколкото при хора с нормално телесно тегло. Моделът е прост: колкото по-голямо е теглото на човек, толкова по-бързо се развива болестта и толкова по-тежка е тя. В този случай формата на заболяването може да се нарече придобита. Под удара попадат ставите на долните крайници, тъй като те са принудени да понесат най-голямо натоварване.
Хората с наднормено тегло също се сблъскват с хормонален дисбаланс и метаболитни нарушения, които допринасят за развитието на затлъстяване и артроза.
възраст
Възрастните хора могат да се нарекат тези, които са достигнали възраст над 60-65 години. В тази популация остеоартритът се среща при 65-85 процента от хората.
Причината са свързани с възрастта промени, които влияят негативно върху структурата на ставите. Дори обикновеното ходене може да се превърне в значително натоварване и да стимулира развитието на болестта, докато износеният хрущял вече не може да се възстанови сам.
Вродени патологии и наследствени фактори
Заболяването може да засегне както младите хора, така и тези, които не страдат от наднормено тегло. По правило в такива ситуации заболяването възниква поради вродени дефекти на коленните стави, например липса на вътреставно смазване. Важна роля играе и наследствеността.
И все пак по-голямата част от пациентите, страдащи от болки в коляното, са хора на почтена възраст. Артрозата е рядка сред младите хора. За съжаление, младите пациенти не винаги получават необходимото лечение, тъй като не всички лекари смятат за необходимо да им обърнат необходимото внимание.
Високи натоварвания
Хората, които си изкарват прехраната с тежък физически труд, и спортисти от различни нива също са изложени на риск от остеоартрит на коленете. В този случай заболяването се превръща в професионална патология.
Операции, наранявания и други заболявания
Хирургия, травма, различни заболявания на ставите могат да провокират появата на гонартроза.

Когато причината остава неизвестна, остеоартритът на колянната става обикновено се нарича идиопатичен.
Диагностика на артроза на колянната става
Тази диагноза се поставя въз основа на оплаквания на пациента, данни от прегледа, палпация на болната става и рентгеново изследване.
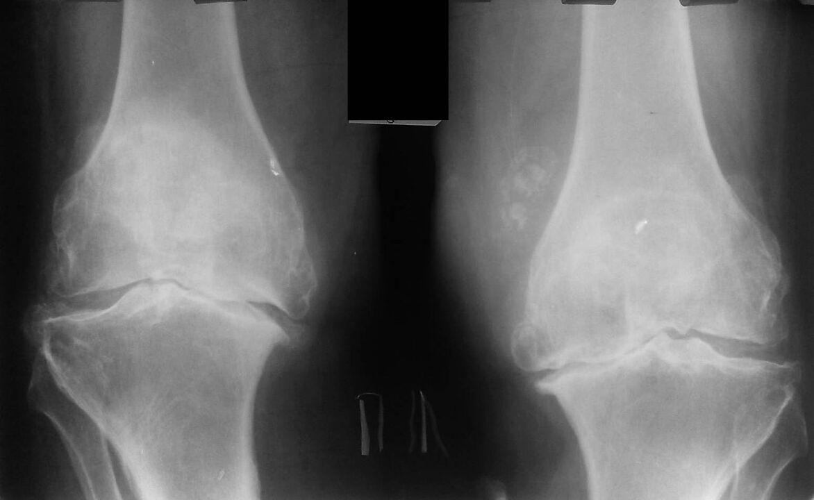
Рентгеновата снимка е стандартен изследователски метод, който ви позволява да потвърдите диагнозата, да установите степента на патологични промени, да наблюдавате динамиката на процеса, а също така ви позволява да изключите други патологични процеси (например тумори) в тибията и бедрената кост .
Трябва да се отбележи, че първичните промени в структурите на колянната става на рентгенови снимки може да липсват. Впоследствие се определя стесняване на ставното пространство и уплътняване на субхондралната зона. Ставните краища на бедрената кост и особено на пищяла се разширяват, ръбовете на кондилите стават заострени.
Допълнителни диагностични методи са CT (компютърна томография) и MRI (магнитен резонанс), които позволяват по-подробно изследване на патологичните промени в костните структури и идентифициране на промени в меките тъкани.
Как да се лекува гонартроза на колянната става
Колкото по-остър стадият на заболяването, толкова по-сложно става лечението на гонартроза. Хроничният характер на патологията може да остане във фазата на ремисия, когато активните прояви на заболяването са сведени до минимум или отсъстват напълно.

Физиотерапевтичното лечение в комбинация с хондропротективни лекарства дава положителни резултати.
Опциите за лечение включват:
- медикаментозна терапия (хондропротектори);
- хирургична интервенция;
- курс на рехабилитация (лечение, масаж и др. ).
Лечение с лекарства
При лекарствена терапия се предписва употребата на нестероидни аналгетици. Тези лекарства помагат за облекчаване на болката и симптомите на синовит (възпаление). Ако болката е особено интензивна или синовиума на колянната става е силно възпалена, тогава могат да се използват кортикостероиди. Тези лекарства имат по-мощен аналгетичен и противовъзпалителен ефект от нехормоналните болкоуспокояващи. Мускулните релаксанти и спазмолитиците ще помогнат на периартикуларните мускули да се отърват от спазмите.
Антиоксидантите и вазодилататорите подобряват храненето на хрущяла. Основните лекарства за консервативно лечение на заболяването са хондропротектори, които съдържат хондроитин и глюкозамин сулфат (естествени компоненти на хрущяла).
Употребата на патогенетични лекарства трябва да бъде системна и продължителна.
Физиотерапия
Методите за физиотерапевтично лечение (UHF, ултразвук или фототерапия) се считат за допълнителни средства за ускоряване на лечебния процес.
Те също така включват:
- Акупунктура. Този метод облекчава мускулния спазъм в близост до засегнатата става, нормализира метаболитните процеси в тях, като по този начин възстановява увредените хрущялни тъкани.
- Хирудотерапия. Лечението с пиявици има същия ефект като инжекциите, тъй като подобрява кръвообращението.
- лазерна терапия. Такива процедури облекчават възпалението, отока, подобряват метаболизма и неутрализират болката.
- Криотерапия. Ефективни са както лечението с течен азот, така и обикновения лед у дома.
- Магнитотерапия. Въздействието на магнитното поле не само подобрява кръвообращението в тъканите, но и облекчава отока и възпалението.
- Електромиостимулация. С помощта на микроразряди на ток с различна честота се възстановяват и укрепват мускулите, подобрява се кръвообращението в крайниците.
Лечението на гонартроза на коляното с физиотерапия е ефективно, тъй като намалява болката. Обикновено лекуващият лекар предписва такова лечение според стадия на заболяването.
Физиотерапия
Лечебната терапия за артроза на колянната става е едно от основните средства за възстановяване на атрофиралите мускули и трябва да се извършва много внимателно и бавно. Ако пациентът почувства, че болката се връща, упражнението трябва да бъде спряно.

По време на терапевтичните упражнения е необходимо да се носят специални наколенки-фиксатори. Рехабилитационният курс включва и използването на тези ортопедични устройства, чиято цел е да намалят натоварването от засегнатото коляно към бастуна или протезата. На пациентите с гонартроза често се предписва носенето на наколенки за облекчаване на болката при ходене.
Терапевтичната гимнастика за гонартроза намалява натоварването на увредената става, развивайки мускулите на краката. Упражненията, които натоварват ставата, са строго противопоказани. Водната гимнастика и плуването са идеални занимания.
Ортопедична терапия
За да се намали натоварването на засегнатите стави, пациентът трябва да използва бастун. Добър помощник при артроза на коляното са ортопедичните обувки, които осигуряват естествена позиция на стъпалото и равномерно разпределение на натоварването.
Масаж
Масажът облекчава мускулните спазми, намалява болката и увеличава обхвата на движение. Тази процедура също така подобрява кръвообращението и доставя на ставата хранителни вещества.
Хирургична интервенция
Изразено намаляване на работоспособността (особено до 45 години) изисква хирургично лечение. Изборът между коригиращ (отстраняване на остеофити) и радикален (ендопротезиране на коляното) методи на лечение зависи от стадия на заболяването, възрастта на пациента, симптомите и други фактори.
Хранене
Що се отнася до специалната диета за гонартроза, тя най-често е насочена към намаляване на теглото на пациента, тъй като наднорменото тегло води до претоварване на ставите. Препоръчва се да се яде на малки порции на всеки 3 часа, да се яде постно месо (пилешко, пуешко, заешко) и да се изключи тлъстото свинско, както и да се набавят необходимите протеини от бобови растения.
Рафинираното масло трябва да се замени с нерафинирано, приемът на сол трябва да бъде ограничен. Терапевтичната диета също така предполага отхвърляне на консервирани храни, пържени и пушени храни. За да се възстанови разрушеният хрущял, е необходимо да се осигури на организма въглехидрати, които се съдържат в зърнените храни и пълнозърнестите брашно.
Освен това се препоръчва да се пият прясно изцедени сокове, като моркови, цвекло и ябълка, за премахване на токсините и намаляване на възпалението в тялото.
Рибата и различни желета действат като хондропротектори и помагат за възстановяването на хрущяла не само в началните етапи, но и по време на периоди на обостряне.
Народни методи на лечение
Има много мехлеми, компреси, тинктури, които се използват от любителите на традиционната медицина. Тези лекарства обикновено се правят от билки, медицинска жлъчка и помагат за подобряване на циркулацията в ставите.
Компресите и мехлемите също отпускат мускулите, тяхната ефективност е много висока, но в третия стадий на гонартроза без употребата на лекарства те са практически безполезни.
Народната медицина не трябва да се пренебрегва, защото помага за облекчаване на дискомфорта и намаляване на много от симптомите на заболяването. Но във всеки случай трябва да се консултирате с лекар и да не се самолекувате.
Има противопоказания, е необходимо да се консултирате със специалист.
Предотвратяване
Препоръчително е да се придържате към следните принципи на здравословен начин на живот:
- балансирана диета;
- отказ от лоши навици (пушене, алкохол);
- спорт;
- поддържане на здравословно тегло;
- предотвратяване на спортни травми (натъртвания, измествания, фрактури).
Остеоартритът на коляното има няколко възможности за лечение в зависимост от възрастта и физическото състояние на пациента. За предотвратяване и овладяване на заболяването в ранните етапи е необходим спорт, както и навременно лечение.



















